More Information

Submitted: September 21, 2023 | Approved: October 10, 2023 | Published: October 11, 2023

How to cite this article: Bhatia J, Das AK. An Interesting Autopsy Case Report of Acute Respiratory Failure. Arch Pathol Clin Res. 2023; 7: 017-019.

DOI: 10.29328/journal.apcr.1001036

Copyright License: © 2023 Bhatia J, et al. This is an open access article distributed under the Creative Commons Attribution License, which permits unrestricted use, distribution, and reproduction in any medium, provided the original work is properly cited.

 FullText PDF

An Interesting Autopsy Case Report of Acute Respiratory Failure

Jasleen Bhatia* and AK Das

INHS Asvini, India

*Address for Correspondence: Jasleen Bhatia, INHS Asvini, India, Email: [email protected]

Vasculitis is a group of rare but potentially serious disorders characterized by inflammation of blood vessels. This condition can affect blood vessels of all sizes, ranging from small capillaries to larger arteries. The inflammation can disrupt blood flow, leading to a variety of symptoms and potential complications [1]. Vasculitis can target various organs and body systems, making it a challenging condition to diagnose and manage. It is a rare autoimmune disorder with female preponderance causing the immune system to attack blood vessels. Its incidence is 6 in every 1,00000 population and more commonly seen in elderly population. Amongst vasculitis, ANCA associated vasculitis is extremely rare, with a worldwide incidence of 1.2 to 2.0 cases per 100000 individuals [2]. The estimated 1 year survival rate for ANCA associated vasculitis is 77% - 100%. The 5 and 10 year survival rates vary from 46% to 85% and 60% to 80% respectively. The mortality rates are falling because of better and advanced treatment options but remain elevated in severe cases. ANCA associated small vessel vasculitis includes microscopic polyangiitis, Wegeners granulomatosis, Churg-strauss syndrome and drug induced vasculitis. The exact cause of vasculitis is often unknown, but it is believed to involve an abnormal immune response. The immune system mistakenly attacks healthy blood vessels, leading to inflammation. Some cases of vasculitis are linked to autoimmune disorders, where the body’s immune system attacks its tissues [3]. Other possible triggers include infections, certain medications, and exposure to toxins. The affected individual presents with fatigue, muscle pain, fever, cough, hemoptysis, abdominal pain, blood in urine or weakness and numbness in hands or feet. In severe cases there is presence of blood and protein in urine, making it appear brownish and foamy, high blood pressure and respiratory problem. The normal ANCA level may differ from lab to lab although the normal levels of ELISA are 0.00 units/ml to 0.22 units/ml.

Clinical profile

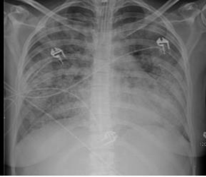
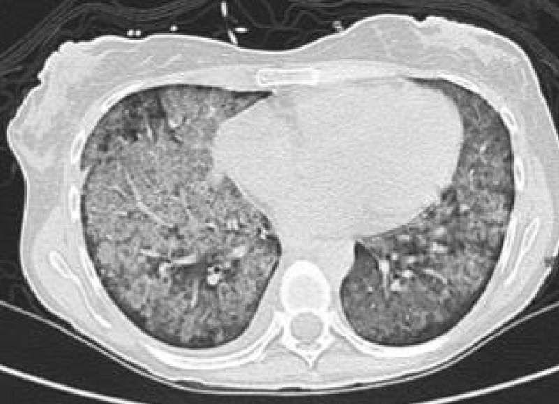
A 29 year old serving soldier was admitted with complains of fever, pain abdomen, hemoptysis, bodyache and dark coloured urine since 03 days. On admission patient was tachypneic and hypotensive. Blood investigations revealed decrease hemoglobin and platelet count. pANCA came out to be positive. CT scan was suggestive of bilateral nodular densities and x ray showed bilateral fluffy opacities. Despite management with oxygenation, iv fluids and iv antibiotics, there was no improvement in his symptoms and his condition further deteriorated. Bronchoscopy revealed diffuse bronchoalveolar hemorrhage. Biochemical evaluation revealed deranged kidney and liver function test. Patient on ventilation developed bradycardia, hypotension and desaturation. On examination blood pressure was not recordable, carotid pulse was not recordable, CPR was started and patient was declared dead at 1215hrs on 30 Oct 2020 Figures 1,2.


Download Image

Figure 1: X Ray shows bilateral fluffy opacities.


Download Image

Figure 2: CT scan shows multiple nodular densities.

Patient was taken for autopsy and on external/ gross examination of organs, there was visible hepatomegaly, kidney showed multiple petechial hemorrhages and both lungs were boggy Figures 3-5.


Download Image

Figure 3: Hepatomegaly, liver weighing 2300gm.


Download Image

Figure 4: Petechial hemorrhages over both kidneys.


Download Image

Figure 5: Bilateral lungs are boggy and heavy.

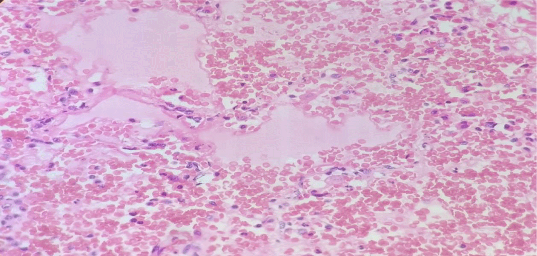
Histopathology showed evidence of diffuse alveolar hemorrhages in both lungs. Evidence of vasculitis was noted in small vessels of kidney and lungs, with neutrophilic inflammatory infiltrate around these vessels. Hence it was concluded that p-ANCA associated vasculitis lead to diffuse alveolar hemorrhage, causing acute respiratory distress and eventually respiratory failure Figures 6-8.


Download Image

Figure 6: Section shows interstitial and intra-alveolar hemorrhage with denuded alveolar lining epithelium.


Download Image

Figure 7: Section shows dilated vessels with peri-portal inflammation and dilatation of sinusoids.


Download Image

Figure 8: Section shows congested blood vessels and tubular nephritis with small interstitial capillary injury.

Diagnosing vasculitis can be complex, as its symptoms often overlap with other medical conditions. The prognosis is extremely poor if not diagnosed in time. Hence better clinical history and adequate tests like test for ANCA antibodies, LFT and KFT is extremely important [3]. Treatment for vasculitis aims to control inflammation, alleviate symptoms, and prevent further damage to organs. The approach often involves administration of Corticosteroids, Immunosuppressants, Biologic therapies Plasmapheresis and Supportive care. Hence, vasculitis is a complex and potentially severe condition characterized by inflammation of blood vessels. Early diagnosis and appropriate treatment are essential for managing symptoms, preventing complications, and improving the overall quality of life for those affected [4].

The exact cause of vasculitis is often unknown, but it is believed to involve an abnormal immune response. The immune system mistakenly attacks healthy blood vessels, leading to inflammation. Some cases of vasculitis are linked to autoimmune disorders, where the body’s immune system attacks its tissues [5]. Other possible triggers include infections, certain medications, and exposure to toxins. The affected individual presents with fatigue, muscle pain, fever, cough, hemoptysis, abdominal pain, blood in urine or weakness and numbness in hands or feet. In severe cases there is presence of blood and protein in urine, making it appear brownish and foamy, high blood pressure and respiratory problem. The normal ANCA level may differ from lab to lab although the normal levels of ELISA are 0.00 units/ml to 0.22 units/ml [6].

Vasculitis is a rare autoimmune disorder and hence its diagnosis is extremely challenging. There is no clinical criteria to diagnose a case of vasculitis. The only gold standard investigation in a case of vasculitis is histopathology. Hence early diagnosis and medical intervention is extremely important to improve long term survival.

  1. Gloor AD, Berry GJ, Goronzy JJ, Weyand CM. Age as a risk factor in vasculitis. Semin Immunopathol. 2022 May;44(3):281-301. doi: 10.1007/s00281-022-00911-1. Epub 2022 Feb 9. PMID: 35141865; PMCID: PMC9064861.
  2. Watts RA, Hatemi G, Burns JC, Mohammad AJ. Global epidemiology of vasculitis. Nat Rev Rheumatol. 2022 Jan;18(1):22-34. doi: 10.1038/s41584-021-00718-8. Epub 2021 Dec 1. PMID: 34853411; PMCID: PMC8633913.
  3. Gross WL, Schmitt WH, Csernok E. ANCA and associated diseases: immunodiagnostic and pathogenetic aspects. Clin Exp Immunol. 1993 Jan;91(1):1-12. doi: 10.1111/j.1365-2249.1993.tb03345.x. PMID: 8419069; PMCID: PMC1554662.
  4. Beaudreuil S, Lasfargues G, Lauériere L, El Ghoul Z, Fourquet F, Longuet C, Halimi JM, Nivet H, Büchler M. Occupational exposure in ANCA-positive patients: a case-control study. Kidney Int. 2005 May;67(5):1961-6. doi: 10.1111/j.1523-1755.2005.00295.x. PMID: 15840044.
  5. Suresh E. Diagnostic approach to patients with suspected vasculitis. Postgrad Med J. 2006 Aug;82(970):483-8. doi: 10.1136/pgmj.2005.042648. PMID: 16891436; PMCID: PMC2585712.
  6. Qasim A, Patel JB. ANCA Positive Vasculitis. 2023 May 22. In: StatPearls [Internet]. Treasure Island (FL): StatPearls Publishing; 2023 Jan–. PMID: 32119259.